Tokat'tan gelen skolyoz hastası Samsun'da şifa buldu
Sırt ağrıları, omurga eğriliği ve kamburlaşması olan 20 yaşındaki hasta Ahmet Akan, Tokat'tan Samsun'a gelerek ameliyat oldu. 7 saat süren ameliyat sonunda Ahmet Akan sağlığına kavuştu.
Yayınlanma :
25.04.2022 16:06
Güncelleme :
25.04.2022 16:09
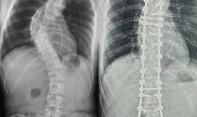
Yapılan muayene ve incelemeler sonucu hastada 73 derece skolyoz (omurga eğriliği) ve kifoz (kamburluk) tespit edilerek Ahmet Akan'a ameliyat önerildi. Samsun Üniversitesi Tıp Fakültesi Ortopedi ve Travmatoloji Anabilim Dalı Öğretim Üyelerinden Dr. Öğr. Üyesi Ömer Bozduman, deneyimli ameliyat ve anestezi ekibi eşliğinde görev yaptığı Samsun Eğitim ve Araştırma Hastanesi'nde 7 saat süren başarılı bir skolyoz ameliyatı gerçekleştirdi.
"12 saat sonra hastamız kaldırılıp yürütüldü"
Hasta ile ilgili bilgi veren Dr. Öğretim Üyesi Ömer Bozduman, "Hastamız artan sırt ağrıları ve omurga eğriliğinin ilerlemesi şikâyetiyle kliniğimize başvurdu. İnceleme ve değerlendirmelerimiz sonucu ameliyat kararı verdik. 7 saat süren skolyoz ameliyatını takiben 12 saat sonra hastamız kaldırılıp yürütüldü. Ameliyat sonrası nörolojik olarak hiçbir sorunu yok. Eğriliği tamamen düzeldi, boyu uzadı. Şu an kendisi yürüyüp gezebiliyor. Hastayı 5 gün sonra taburcu edip evine gönderiyoruz. Her ameliyatta olduğu gibi skolyoz ameliyatlarında da ekip çalışması çok önemlidir. Uzun süren bu ameliyatı, hastanemizin özverili ameliyat ve servis hemşireleri ve deneyimli anestezi ekibi ile gerçekleştirdik" dedi.
"Ücretsiz ameliyat"
Hastanın hiçbir ücret ödemediğine dikkat çeken Dr. Bozduman, "Ayrıca hastamız bu ameliyatı ve sonrasındaki bakım hizmetlerine, ücret ödemeden devletimizin imkanlarıyla kavuşmuş oldu. Samsun Üniversitesi Tıp Fakültemiz ve Samsun Eğitim Araştırma Hastanemizin tüm imkânlarını Samsun ve bölge halkına sunmaya devam ediyor olacağız" diye konuştu.
Yorum Yazma Kuralları
Lütfen yorum yaparken veya bir yorumu yanıtlarken aşağıda yer alan yorum yazma kurallarına dikkat ediniz.
Türkiye Cumhuriyeti yasalarına aykırı, suç veya suçluyu övme amaçlı yorumlar yapmayınız.
Küfür, argo, hakaret içerikli, nefret uyandıracak veya nefreti körükleyecek yorumlar yapmayınız.
Irkçı, cinsiyetçi, kişilik haklarını zedeleyen, taciz amaçlı veya saldırgan ifadeler kullanmayınız.
Türkçe imla kurallarına ve noktalama işaretlerine uygun cümleler kurmaya özen gösteriniz.
Yorumunuzu tamamı büyük harflerden oluşacak şekilde yazmayınız.
Gizli veya açık biçimde reklam, tanıtım amaçlı yorumlar yapmayınız.
Kendinizin veya bir başkasının kişisel bilgilerini paylaşmayınız.
Yorumlarınızın hukuki sorumluluğunu üstlendiğinizi, talep edilmesi halinde bilgilerinizin yetkili makamlarla paylaşılacağını unutmayınız.
Yorumlar
Kalan Karakter: